牙齿种植有什么好?
有疑问?点击咨询专家 全国免费咨询电话 020-6226 6666
  种植牙具有其他牙齿修复方式无法媲美的优势,稳固牢靠、舒适美观和安全持久,能替代真牙修复牙齿缺失,重建咀嚼功能,提高人类生存质量,因此种植牙被誉为“人类的第三副牙齿”,给牙齿缺失患者带来了福音。那么牙齿种植具体好在哪里?下文请穗华口腔专家为大家具体介绍。
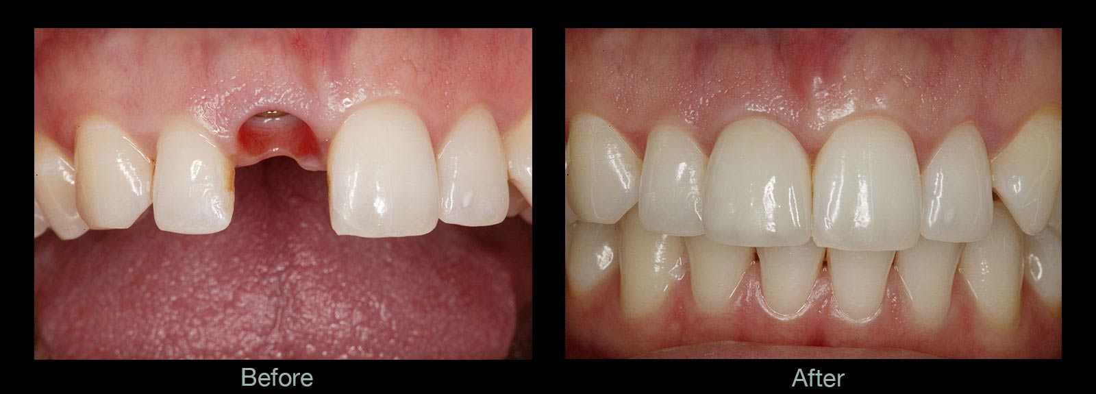
种植牙前后对比
 
  穗华口腔专家介绍牙齿种植的四大好处:
 
  1、稳固牢靠种植牙和真牙一样包括牙根和牙冠两个部分,种植体(即人工牙根)用生物相容性极好的纯钛金属制作而成,与牙槽骨通过骨结合连接在一起,十分坚固,可象真牙一样扎根在患者的口腔里,根深蒂固,所以稳固。
 
  2、原理科学天然牙将口腔内的咀嚼压力通过牙根传递至牙槽骨,而种植牙将咀嚼压力通过人工牙根(种植体)传递至牙槽骨,生物力学原理相同,故能承受强大的力量,咀嚼效率较传统假牙有大幅度提高。
 
  3、保护牙槽骨种植牙对整个牙槽骨起到很好的保护作用,人的牙齿和大树一样,大树根深蒂固才能枝繁叶茂,牙齿缺失后牙槽骨就像水土流失,牙槽骨会出现不同程度的废用性萎缩和吸收。种植牙的人工牙根深植于牙槽骨中,因此能有效防止牙槽骨萎缩和牙槽骨吸收。
 
  4、保护邻牙。种植牙在缺失牙的牙槽骨内植入人工牙根,并在人工牙根上安装上烤瓷牙冠,有自己独立的牙根固位,不需要依附邻牙来固位,对健康的邻牙不仅没有任何伤害,还可以防止由于缺牙导致邻牙的移位或牙齿松动。
 
  穗华口腔是您爱牙的放心之选
 
  穗华口腔医院是拥有百年人文底蕴的暨南大学附属口腔医院临床教学医院,是广东省卫生厅批准成立的口腔专科医院,是集口腔诊疗、教学和科研为一体的现代化口腔综合医院,承诺永远以顾客的牙齿健康为首要因素,确保给顾客高性价比的口腔治疗,如果您还有什么问题或需要帮助,可在线咨询或拨打热线:020-62266666,将您的问题告诉在线医生,专家将耐心为您分析解答,“百度100遍,不如咨询一次”。

穗华口腔专家团队

>>more

  • 赖仁发 主任医师

    穗华口腔医院总院长
    暨南大学附属第一医院口腔医学中心主任导师
    国家教育部高等学校口腔医学专业教学指导委员会委员
    国家教育部医学教育题库(口腔医学)建设指导委员会委员

  • 冯智强 主任医师

    穗华口腔医院种植技术院长
    广东省口腔医师协会理事
    广东省医学教育协会口腔种植学专业委员会委员
    广东省整形美容口腔医学会委员
    广东省口腔颌面外科专业委员会委员
    广东省颞下颌关节病学及牙合学专业委员会委员
    广东省口腔医学会医院感染控制与管理专业委员会委员
    《实用医学杂志》审稿专家
    美国牙科新技术学院(AIIDE)中国区高级讲师
    2017年度广东省十大健康风尚人物

  • 鲍洪源 副主任医师

    穗华口腔海珠中大院区院长
    原中国航空364医院口腔科主任
    德国口腔颌面外科协会(MKG)种植硕士
    韩国Demtium种植牙系统千例种植认证医师
    北京大学种植中心访问专家
    湖北省种植专委会委员
    湖北省口腔全科专委委员
    中华口腔医学会种植专委会委员

  • 熊小明 副主任医师

    穗华口腔越秀院区院长
    中华口腔医学会会员
    全国口腔名家联盟成员
    广东省口腔种植学专业委员会委员
    德国(DGI)口腔种植协会会员
    美国口腔正畸学会(AAO)会员
    美国哥伦比亚大学口腔种植访问学者

  • 贺文鹏 副主任医师

    穗华口腔医院正颌中心主任
    穗华口腔医院资深种植专家
    暨南大学附属第一医院口腔外科主任
    暨南大学口腔医学院口外教研室副主任
    多家种植体品牌公司培训讲师
    德国口腔颌面外科协会-种植精英计划-种植硕士
    国家执业医师资深考官
    广州实力中青年医生
    暨南大学附属第一医院手术突出贡献奖获得者
    中华口腔医学会创伤与正颌专委会青年委员
    广东省医学会颌面头颈外科学分会青委副主任委员
    广东省医院协会口腔管理分会委员
    广东省临床医学学会牙种植专委会委员
    广东省口腔医学会口腔颌面外科专业委员会青年委员
    广东省整形美容协会口腔整形美容分会委员
    广东省粤港澳合作促进会医药卫生大健康委员会口腔健康联盟委员
    广东省医学教育协会口腔种植专业委员会委员
    广东省口腔医师协会理事

  • 孔卫东 主任医师

    穗华口腔医院副院长
    穗华口腔医院集团正畸医疗总监
    eBrace个性化舌侧矫治器主要发明人
    中华口腔医学会口腔正畸专业委员会5、6、7届委员
    《中华口腔正畸学杂志》编委
    广东省口腔医学会口腔正畸专业委员会常委
    《暨南大学学报(医学版)》特邀编委
    美国口腔正畸学会(AAO)会员
    世界正畸联盟(WFO)会员
    广东省3D打印技术联盟理事会理事
    广东省整形美容协会理事会理事
    省部级企业科技特派员
    入选2020年度《岭南名医录》
    被评为2021年度“羊城好医生”

  • 肖世芳 主任医师

    穗华口腔荔湾院区医疗院长
    中国共产党广州穗华口腔门诊部有限公司支部委员会书记
    穗华口腔健康正畸讲师
    中华口腔医学会正畸专业委员会会员
    四川省口腔医学会正畸专业委员会委员
    暨南大学口腔医学院研究生实践指导教师
    美国隐适美隐形矫治全球认证医师
    美国SPARK精靓隐形矫治全球认证医师
    美国Insignia精准矫治全球认证医师
    时代天使隐形矫治认证医师
    医疗健康管理硕士

  • 谢晓聪 主治医师

    穗华口腔荔湾院区资深正畸医师
    穗华口腔荔湾院区修复医师
    时代天使隐形矫正认证医师
    毕业于广州医科大学

  • 田慧娟 主治医师

    穗华口腔白云梅花园院区正畸科资深医师
    中华口腔医学会正畸专业委员会专科会员
    时代天使儿童颜面管理认证医师

  • 张涛 副主任医师

    穗华口腔番禺万博院区院长
    中华口腔医学会口腔正畸专业委员会专科委员
    中华口腔医学会口腔颌面创伤及正颌专业委员
    美国隐适美隐形矫治全球认证黑钻医师
    美国Spark精靓隐形矫治全球认证医师
    eBrace专利矫正认证医师

  • 文夫 主治医师

    穗华口腔医院正畸科隐形矫治技术主任
    穗华口腔天河院区资深正畸医师
    中华口腔医学会会员
    中华口腔医学会正畸专业委员会专科会员
    广东省口腔医学会会员
    美国隐适美全球认证专家
    美国隐适美隐形矫治讲师
    时代天使高端隐形矫治指定授权医师
    时代天使高端隐形矫治培训专家
    第18届雅加达亚运会中国代表团口腔保障营专家
    丽绮美数字化颜面管理认证医师

  • 黄海霞 主治医师

    穗华口腔海珠中大院区医疗副院长
    中华口腔医学会正畸专业委员会专科会员(COS)
    中华口腔医学会儿童口腔医学专业委员会专科会员
    中华口腔医学会口腔美学专业委员会专科会员
    卡瓦Ormco数字化产品中国区认证讲师
    美国隐适美隐形矫治认证医师
    时代天使隐形矫治认证医师、认证讲师
    时代天使儿童颜面管理认证医师
    eBrace个性化舌侧矫治认证医师
    美国spark精靓隐形矫治全球认证医师
    丽绮美数字化颜面管理认证医师

  • 张建 主治医师

    穗华口腔医院正畸科主治医师
    中华口腔医学会正畸专业委员会专科会员
    eBrace个性化舌侧矫治认证医师
    美国Spark隐形矫正认证医师
    美国隐适美隐形矫治认证医师
    美国Insignia个性化唇侧矫正认证医师
    时代天使隐形矫治认证医师
    丽绮美数字化颜面管理认证医师

  • 刘华 副主任医师

    穗华口腔医院白云梅花园院区医疗副院长
    湖北中医药大学副教授
    国家医疗卫生专家库专家

  • 谢晓聪 主治医师

    穗华口腔荔湾院区资深正畸医师
    穗华口腔荔湾院区修复医师
    时代天使隐形矫正认证医师
    毕业于广州医科大学

  • 陈波 主治医师

    穗华口腔医院综合科资深医师
    中华口腔医学会会员

  • 陈天宇 主治医师

    穗华口腔黄埔院区医疗副院长
    穗华口腔黄埔院区资深修复医师
    中山大学光华口腔医学院口腔修复学硕士
    中华口腔医学会口腔修复学学会会员

  • 甄亚辉 主诊医师

    穗华口腔医院综合科医师
    中华口腔医学会会员

  • 唐果 主治医师

    穗华口腔医院综合科医师
    中华口腔医学会会员

  • 刘华 副主任医师

    穗华口腔医院白云梅花园院区医疗副院长
    湖北中医药大学副教授
    国家医疗卫生专家库专家

  • 何豫 主治医师

    穗华口腔黄埔院区综合科专家
    毕业于中山大学光华口腔医学院
    资深口腔全科医师、儿童口腔专科医师

  • 赵丽雪 主治医师

    穗华口腔医院综合科医师
    中华口腔医学会会员

  • 许玉琴 主治医师

    穗华口腔海珠中大院区全科医师
    中华口腔医学会会员
    毕业于南华大学

版权:广州穗华口腔医院
备案号:粤ICP备15046903号
医疗广告审查证明文号:粤(A)广(2025)第1188号