牙齿断裂了,这可怎么好?种植牙是现在社会牙齿修复方式的主要选择,种植牙有着其他牙齿修复方式无法媲美的优点,可以替代真牙行使牙齿咀嚼的功能,种植牙有它种植好的时间,那么什么时候种植牙好?下文请穗华口腔专家为大家作出介绍。
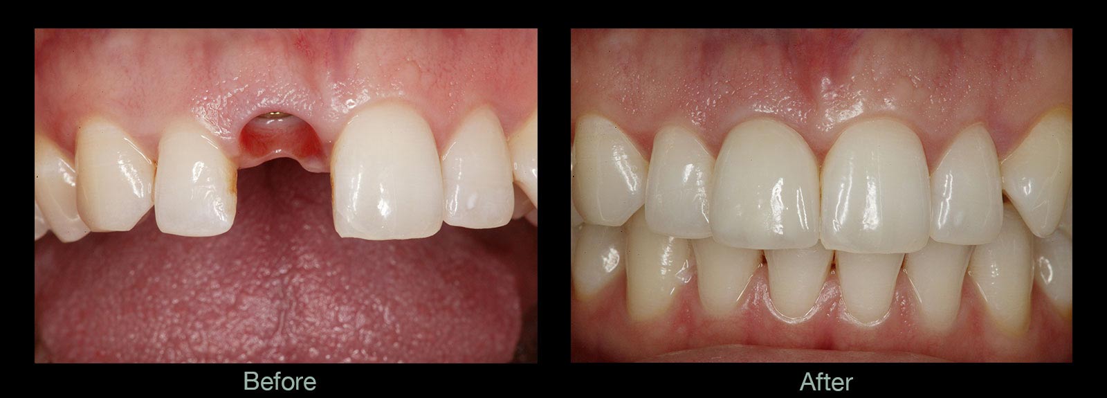
种植牙前后对比
穗华口腔专家介绍:
1、如果牙齿因严重的蛀牙、牙周病患牙或残根拔出。在拔牙前要先去看种植医生,因为在某些情况下拔牙的同时就可植牙,可大大简化种植牙程序和手术,达到好的口腔修复效果。
2、如果牙齿因外伤而脱:应在短时间内去看种植医生,因为有些病例可在您失牙的同时立即植牙,以免错过好的口腔修复时机。
3、如果牙齿缺失已有很多年了,应该去看种植牙医生,看您是否还有种植牙的条件,是否在植牙前需要做植骨手术以补偿已经萎缩的骨组织。
牙齿种植是目前非常好的缺牙修复技术。穗华口腔的3D靶向种植牙技术,是暨南大学多位种植名家多年积累的义齿修复技术和经验,与一系列国际前沿齿科设备结合的产物,应用意大利NewTom曲面断层扫描CBCT技术、德国WIELAND CAD/CAM计算机辅助设计与制作技术、美国Ambulanc笑气镇静镇痛系统、丹麦3shape 3D打印技术及3shape TRIOS激光扫描重建技术等,从5个方面打造穗华种植牙“40年预期留存率”超过90%的“长寿基因”!
穗华口腔是您爱牙的放心之选
穗华口腔医院是拥有百年人文底蕴的暨南大学附属口腔医院临床教学医院,是广东省卫生厅批准成立的口腔专科医院,是集口腔诊疗、教学和科研为一体的现代化口腔综合医院,承诺永远以顾客的牙齿健康为必要因素,确保给顾客高性价比的口腔治疗,如果您还有什么问题或需要帮助,可在线咨询或拨打热线:020-62266666,将您的问题告诉在线医生,专家将耐心为您分析解答,“百度100遍,不如咨询一次”。
温馨提醒:牙齿种植治疗关乎您的容貌。治疗效果会影响您的一生。为了您和家人的健康,请细心辨认,挑选专业的口腔医疗机构就医。