穗华口腔专家指出说,色素牙是因饮食、烟茶咖啡等附着于牙齿表面,黄或黑色,有的也是由于小时候吃过多的四环素药物之类造成四环素牙齿,牙齿呈灰、黄 或棕色。还有一种是牙齿发育钙化期中饮用了氟含量过高的水所致。依受影响的程度不同,可呈白垩色,黄褐色或暗棕色。那么色素牙治疗哪家医院好呢?下文请穗华口腔医院专家为大家详细介绍一下。

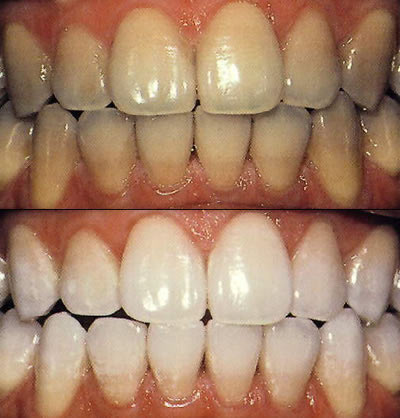
牙齿美白前后对比
穗华口腔医院拥有Beyond冷光美白技术
穗华口腔修复科Beyond冷光美白技术采用恒温纳米光,是现阶段的牙齿美白技术。它在冷光美白的基础上,氧化氢加硝酸钾和氟化物结合的美白方式,打破了传统冷光美白的局限性,克服了传统冷光美白时牙齿酸痛,美白后牙龈过敏的窘境,具有高效快速、保护牙齿、舒适无痛、效果持久等优点。
1、即刻美白。40分钟左右美白,缩短治疗时间,减少患者张口时长,美白程度迅速提高5-14个色阶。
2、健康环保。操作过程不接触牙龈,完全避免了对牙神经伤害,同时对牙结构不会造成任何伤害。
3、自然美观。通过氟化剂保护牙齿,分解深层牙色素。让牙齿自然洁白,富光泽、有透明感。
4、持久美白。氟化剂促使牙釉质新生而形成对牙齿的保护,美白效果更加明显,更持久。
穗华口腔是您爱牙的放心之选
穗华口腔医院是拥有百年人文底蕴的暨南大学附属口腔医院临床教学医院,是广东省卫生厅批准成立的口腔专科医院,是集口腔诊疗、教学和科研为一体的现代化口腔综合医院,组建了由多位博士生导师和国内外知名专家构成的专业口腔专家队伍,承诺永远以顾客的牙齿健康为必要因素,确保给顾客高性价比的口腔治疗。
温馨提醒:牙齿问题是不容忽视的问题,对于牙齿问题,我们应该尽早进行治疗,以免给我们的生活造成不必要的麻烦和困扰。如果您还有什么问题或需要帮助,可在线咨询或拨打热线:020-62266666,将您的问题告诉在线医生,专家不仅能耐心为您分析解答,还能提供预约挂号的服务,让你就诊更方便快捷,“百度100遍,不如咨询一次”。