穗华口腔专家表示说,我们希望得到周围的人喜欢、尊重和有修养一样,注视一个人的身体外观是人普遍的特性。而却因为生活中的各种原因导致了色素牙,这让很多人都羞于开口。那么色素牙是怎么形成的?下文请穗华口腔医院专家为大家介绍一下。

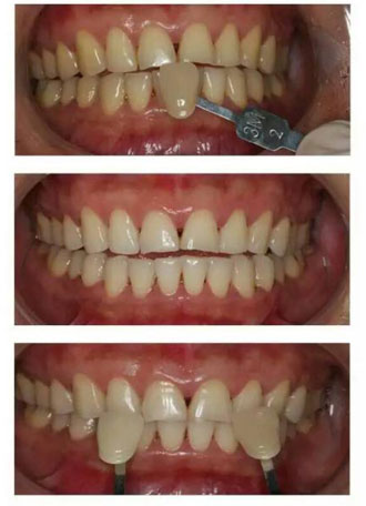
牙齿美白前后对比
穗华口腔专家介绍色素牙的形成有几点因素:
1、水质的因素:有些地区,特别是有些山区,由于水中含氟量高,过多的饮用氟牙齿会发黄,形成氟斑牙。
2、卫生习惯:有些人不注意口腔卫生,没有早晚刷牙习惯,牙齿的表面堆积一层食物残渣、软垢、牙石、烟渍、茶渍、咖啡渍等。这些“色素牙”不是牙齿本身发黄,是不注意口腔卫生造成的。
3、健康因素:牙齿在发育过程中由于营养不好或生过病,会使牙齿的钙化受到影响,牙齿会黄而松脆。
4、药物因素:70年代左右出生的人,由于四环素的大力推广使用,都有一口黑黄的牙齿,俗称四环素牙。现在大都数人都知道了四环素类药物可导致黄牙的发生,特别是在儿童(5岁前)服用影响更大。
穗华口腔跟据不同的色素牙类型,分别采用不同的牙齿美白方案,如果您是外源性色素牙可选择先进的超声波洁牙和喷砂洁牙,其洁牙美白效果明显,能够消炎杀菌对牙龈炎、牙周炎还有很好的治疗作用,对内源性色素牙可选择皓齿美白,皓齿美白具有公认的安全、无痛、治疗时间短、效果保持时间长的特点,是很多爱美人士的选择,此外,穗华口腔采用美式仿生美容冠技术,采用国际先进仿生材料,突破传统的修复方法,数字化口腔修复网络平台,经3D智能数字化技术系统直接设计,避免因材料或操作造成的误差,不会发生规定混合物,印模和设定时间有错误或不符的现象,从诊断、拍摄、设计、制作、试戴在一个区域内完成, 一气呵成,用时只需1小时,拥有一口整齐明星牙,选择穗华,选择完美。
穗华口腔是您爱牙的放心之选
穗华口腔医院是拥有百年人文底蕴的暨南大学附属口腔医院临床教学医院,是广东省卫生厅批准成立的口腔专科医院,是集口腔诊疗、教学和科研为一体的现代化口腔综合医院,组建了由多位博士生导师和国内外知名专家构成的专业口腔专家队伍,承诺永远以顾客的牙齿健康为必要因素,确保给顾客高性价比的口腔治疗。
温馨提醒:牙齿问题是不容忽视的问题,对于牙齿问题,我们应该尽早进行治疗,以免给我们的生活造成不必要的麻烦和困扰。如果您还有什么问题或需要帮助,可在线咨询或拨打热线:020-62266666,将您的问题告诉在线医生,专家不仅能耐心为您分析解答,还能提供预约挂号的服务,让你就诊更方便快捷,“百度100遍,不如咨询一次”。