随着口腔医学技术的逐渐提高,越来越多的人开始了解上种植牙的好处。可是有许多朋友会疑问:种植牙有什么危害?仍然不放心种植牙,下文请穗华口腔医院专家为大家详细解释一下。
穗华口腔专家解释:牙齿种植本身是对人体基本没有副作用的。正常情况下,在正规的专业口腔医院进行的牙齿种植手术,种植牙的修复效果都可以得到良好保证。但需要提醒的是,如果在进行种植牙手术后护理不当或者医生操作不当,也是很可能给我们带来后遗症的。其副作用如下:
1、种植体创伤
常见种植义齿被意外撞击,严重时可致种植体稍微松动。
2、种植体机械折断
与种植体联接的部位如中心螺丝、桥柱螺丝折断,主要因机械性因素或应力分布不公道所致。
3、牙龈增生
由于基台穿龈过少,或基台与桥架联接不良,造成局部卫生状况差,长期的慢性炎性刺激可致牙龈增生。
4、窦腔粘膜穿通
上颌种植时,由于骨量不足,轻易穿通上颌窦或鼻底粘膜,势必造成种植体四面感染,因及时去除。
5、伤口张开
缝合过紧或过松,特别在诱发感染的情况下,更易导致局部伤口张开,应及时清创,再次缝合,幸免种植体暴露。
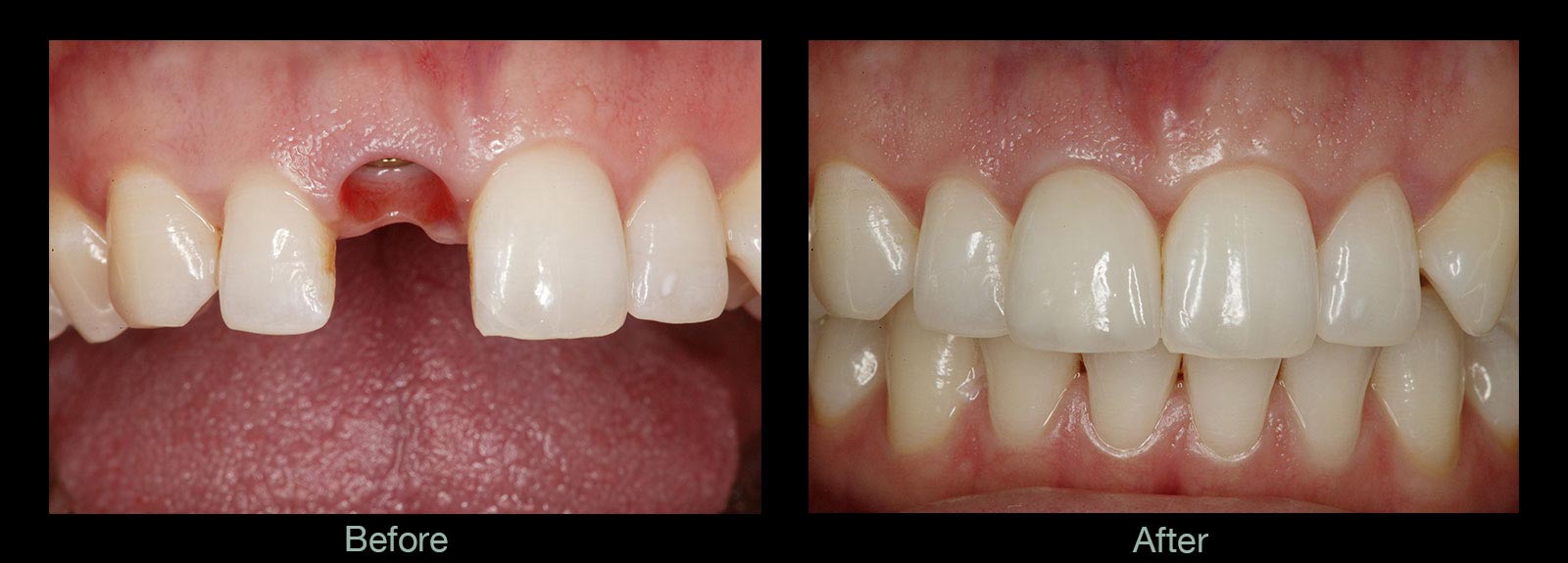
3D靶向种植牙技术,是暨南大学多位种植名家多年积累的义齿修复技术和经验,与一系列国际前沿齿科设备结合的产物,应用意大利NewTom曲面断层扫描CBCT技术、德国WIELAND CAD/CAM计算机辅助设计与制作技术、美国Ambulanc笑气镇静镇痛系统、丹麦3shape 3D打印技术及3shape TRIOS激光扫描重建技术等,从5个方面打造穗华种植牙“40年预期留存率”超过90%的“长寿基因”!
穗华口腔是您爱牙的放心之选
穗华口腔医院是拥有百年人文底蕴的暨南大学附属口腔医院临床教学医院,是广东省卫生厅批准成立的口腔专科医院,是集口腔诊疗、教学和科研为一体的现代化口腔综合医院,组建了由多位博士生导师和国内外知名专家构成的专业口腔专家队伍,承诺永远以顾客的牙齿健康为必要因素,确保给顾客高性价比的口腔治疗。
温馨提醒:牙齿问题是不容忽视的问题,对于牙齿问题,我们应该尽早进行治疗,以免给我们的生活造成不必要的麻烦和困扰。如果您还有什么问题或需要帮助,可在线咨询或拨打热线:020-62266666,将您的问题告诉在线医生,专家不仅能耐心为您分析解答,还能提供预约挂号的服务,让你就诊更方便快捷,“百度100遍,不如咨询一次”。