种植牙好在哪里?
有疑问?点击咨询专家 全国免费咨询电话 020-6226 6666
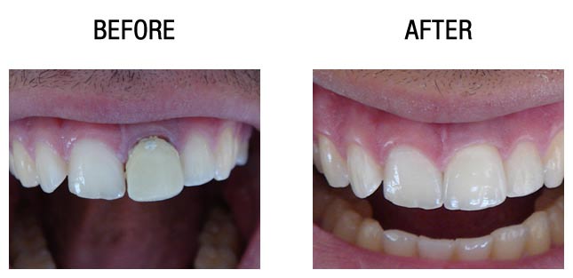
     种植牙具有其他牙齿修复方式所不能媲美的优势,给牙齿缺失患者带来了福音,能够代替真牙行使牙齿咀嚼的功能,那么种植牙好在哪里?下文请穗华口腔医院专家为大家介绍一下。

种植牙修复效果》》》想种牙?预约权威专家
 
  穗华口腔专家介绍种植牙的优点有:
 
  1、固位好:不使用传统镶牙的卡环或牙套,人工牙与牙槽骨紧密结合,像真牙一样扎根在口腔里,具有很强的稳定性。有些不能用活动假牙和固定假牙镶牙的患者就得通过种植牙的方法才能解决。
 
  2、美观:可以根据就诊者的脸型、其它牙齿的形状与颜色制作牙冠,达到整体协调和美观的非常好的效果,这也是种植牙的优点。
 
  3、功能强:种植牙的优点是能很好地恢复牙齿功能,咀嚼功能大大优于其它传统假牙。
 
  4、不磨牙:种植牙的优点是依靠自身的人工牙根进行修复,不用磨掉旁边的健康牙齿,对牙齿没有任何伤害。
 
  5、舒适方便:不使用活动假牙必需的基托与卡环,没有异物感,非常舒适、方便,而且有利于保持口腔的清洁卫生。操作简单:种植牙手术是一个较小的牙槽外科手术,类似拔牙,采用局部麻醉,创伤小,术后即可进食,几乎无痛苦。由于选用的是与人体相容性极好的生物材料,种植牙对人体不产生。
 
  穗华口腔专家推荐ALL-ON-4种植修复技术
  一天种好满口牙,费用节省一大半,实现全口、半口种植牙即刻种植、即刻负重、即刻使用。All-on-4全口种植牙依靠独立的牙根存在,非常坚固,对人体无危害,而且寿命可以长达几十年。
 
  1、种牙颗数少:只需4颗种植体就能够恢复半口牙,减少多颗种植费用。
 
  2、适用范围广:对于长期缺牙导致牙槽骨萎缩严重的患者照样可以顺利种牙。
 
  3、坚固耐用:四颗种植体抓力性好,术后的牙齿坚固程度和健康真牙一样。
 
  4、自然美观:色泽和外观和真牙一样,完全可以以假乱真。
 
  穗华口腔是您爱牙的放心之选
 
  穗华口腔医院是拥有百年人文底蕴的暨南大学附属口腔医院临床教学医院,是广东省卫生厅批准成立的口腔专科医院,是集口腔诊疗、教学和科研为一体的现代化口腔综合医院,组建了由多位博士生导师和国内外知名专家构成的专业口腔专家队伍,承诺永远以顾客的牙齿健康为必要因素,确保给顾客高性价比的口腔治疗。
 
  温馨提醒:牙齿问题是不容忽视的问题,对于牙齿问题,我们应该尽早进行治疗,以免给我们的生活造成不必要的麻烦和困扰。如果您还有什么问题或需要帮助,可在线咨询或拨打热线:020-62266666,将您的问题告诉在线医生,专家不仅能耐心为您分析解答,还能提供预约挂号的服务,让你就诊更方便快捷,“百度100遍,不如咨询一次”。

穗华口腔专家团队

>>more

  • 赖仁发 主任医师

    穗华口腔医院总院长
    暨南大学附属第一医院口腔医学中心主任导师
    国家教育部高等学校口腔医学专业教学指导委员会委员
    国家教育部医学教育题库(口腔医学)建设指导委员会委员

  • 冯智强 主任医师

    穗华口腔医院种植技术院长
    广东省口腔医师协会理事
    广东省医学教育协会口腔种植学专业委员会委员
    广东省整形美容口腔医学会委员
    广东省口腔颌面外科专业委员会委员
    广东省颞下颌关节病学及牙合学专业委员会委员
    广东省口腔医学会医院感染控制与管理专业委员会委员
    《实用医学杂志》审稿专家
    美国牙科新技术学院(AIIDE)中国区高级讲师
    2017年度广东省十大健康风尚人物

  • 鲍洪源 副主任医师

    穗华口腔海珠中大院区院长
    原中国航空364医院口腔科主任
    德国口腔颌面外科协会(MKG)种植硕士
    韩国Demtium种植牙系统千例种植认证医师
    北京大学种植中心访问专家
    湖北省种植专委会委员
    湖北省口腔全科专委委员
    中华口腔医学会种植专委会委员

  • 熊小明 副主任医师

    穗华口腔越秀院区院长
    中华口腔医学会会员
    全国口腔名家联盟成员
    广东省口腔种植学专业委员会委员
    德国(DGI)口腔种植协会会员
    美国口腔正畸学会(AAO)会员
    美国哥伦比亚大学口腔种植访问学者

  • 贺文鹏 副主任医师

    穗华口腔医院正颌中心主任
    穗华口腔医院资深种植专家
    暨南大学附属第一医院口腔外科主任
    暨南大学口腔医学院口外教研室副主任
    多家种植体品牌公司培训讲师
    德国口腔颌面外科协会-种植精英计划-种植硕士
    国家执业医师资深考官
    广州实力中青年医生
    暨南大学附属第一医院手术突出贡献奖获得者
    中华口腔医学会创伤与正颌专委会青年委员
    广东省医学会颌面头颈外科学分会青委副主任委员
    广东省医院协会口腔管理分会委员
    广东省临床医学学会牙种植专委会委员
    广东省口腔医学会口腔颌面外科专业委员会青年委员
    广东省整形美容协会口腔整形美容分会委员
    广东省粤港澳合作促进会医药卫生大健康委员会口腔健康联盟委员
    广东省医学教育协会口腔种植专业委员会委员
    广东省口腔医师协会理事

  • 孔卫东 主任医师

    穗华口腔医院副院长
    穗华口腔医院集团正畸医疗总监
    eBrace个性化舌侧矫治器主要发明人
    中华口腔医学会口腔正畸专业委员会5、6、7届委员
    《中华口腔正畸学杂志》编委
    广东省口腔医学会口腔正畸专业委员会常委
    《暨南大学学报(医学版)》特邀编委
    美国口腔正畸学会(AAO)会员
    世界正畸联盟(WFO)会员
    广东省3D打印技术联盟理事会理事
    广东省整形美容协会理事会理事
    省部级企业科技特派员
    入选2020年度《岭南名医录》
    被评为2021年度“羊城好医生”

  • 肖世芳 主任医师

    穗华口腔荔湾院区医疗院长
    中国共产党广州穗华口腔门诊部有限公司支部委员会书记
    穗华口腔健康正畸讲师
    中华口腔医学会正畸专业委员会会员
    四川省口腔医学会正畸专业委员会委员
    暨南大学口腔医学院研究生实践指导教师
    美国隐适美隐形矫治全球认证医师
    美国SPARK精靓隐形矫治全球认证医师
    美国Insignia精准矫治全球认证医师
    时代天使隐形矫治认证医师
    医疗健康管理硕士

  • 谢晓聪 主治医师

    穗华口腔荔湾院区资深正畸医师
    穗华口腔荔湾院区修复医师
    时代天使隐形矫正认证医师
    毕业于广州医科大学

  • 田慧娟 主治医师

    穗华口腔白云梅花园院区正畸科资深医师
    中华口腔医学会正畸专业委员会专科会员
    时代天使儿童颜面管理认证医师

  • 张涛 副主任医师

    穗华口腔番禺万博院区院长
    中华口腔医学会口腔正畸专业委员会专科委员
    中华口腔医学会口腔颌面创伤及正颌专业委员
    美国隐适美隐形矫治全球认证黑钻医师
    美国Spark精靓隐形矫治全球认证医师
    eBrace专利矫正认证医师

  • 文夫 主治医师

    穗华口腔医院正畸科隐形矫治技术主任
    穗华口腔天河院区资深正畸医师
    中华口腔医学会会员
    中华口腔医学会正畸专业委员会专科会员
    广东省口腔医学会会员
    美国隐适美全球认证专家
    美国隐适美隐形矫治讲师
    时代天使高端隐形矫治指定授权医师
    时代天使高端隐形矫治培训专家
    第18届雅加达亚运会中国代表团口腔保障营专家
    丽绮美数字化颜面管理认证医师

  • 黄海霞 主治医师

    穗华口腔海珠中大院区医疗副院长
    中华口腔医学会正畸专业委员会专科会员(COS)
    中华口腔医学会儿童口腔医学专业委员会专科会员
    中华口腔医学会口腔美学专业委员会专科会员
    卡瓦Ormco数字化产品中国区认证讲师
    美国隐适美隐形矫治认证医师
    时代天使隐形矫治认证医师、认证讲师
    时代天使儿童颜面管理认证医师
    eBrace个性化舌侧矫治认证医师
    美国spark精靓隐形矫治全球认证医师
    丽绮美数字化颜面管理认证医师

  • 张建 主治医师

    穗华口腔医院正畸科主治医师
    中华口腔医学会正畸专业委员会专科会员
    eBrace个性化舌侧矫治认证医师
    美国Spark隐形矫正认证医师
    美国隐适美隐形矫治认证医师
    美国Insignia个性化唇侧矫正认证医师
    时代天使隐形矫治认证医师
    丽绮美数字化颜面管理认证医师

  • 刘华 副主任医师

    穗华口腔医院白云梅花园院区医疗副院长
    湖北中医药大学副教授
    国家医疗卫生专家库专家

  • 谢晓聪 主治医师

    穗华口腔荔湾院区资深正畸医师
    穗华口腔荔湾院区修复医师
    时代天使隐形矫正认证医师
    毕业于广州医科大学

  • 陈波 主治医师

    穗华口腔医院综合科资深医师
    中华口腔医学会会员

  • 陈天宇 主治医师

    穗华口腔黄埔院区医疗副院长
    穗华口腔黄埔院区资深修复医师
    中山大学光华口腔医学院口腔修复学硕士
    中华口腔医学会口腔修复学学会会员

  • 甄亚辉 主诊医师

    穗华口腔医院综合科医师
    中华口腔医学会会员

  • 唐果 主治医师

    穗华口腔医院综合科医师
    中华口腔医学会会员

  • 刘华 副主任医师

    穗华口腔医院白云梅花园院区医疗副院长
    湖北中医药大学副教授
    国家医疗卫生专家库专家

  • 何豫 主治医师

    穗华口腔黄埔院区综合科专家
    毕业于中山大学光华口腔医学院
    资深口腔全科医师、儿童口腔专科医师

  • 赵丽雪 主治医师

    穗华口腔医院综合科医师
    中华口腔医学会会员

  • 许玉琴 主治医师

    穗华口腔海珠中大院区全科医师
    中华口腔医学会会员
    毕业于南华大学

版权:广州穗华口腔医院
备案号:粤ICP备15046903号
医疗广告审查证明文号:粤(A)广(2025)第1188号