种植牙现在多少钱一颗?
有疑问?点击咨询专家 全国免费咨询电话 020-6226 6666
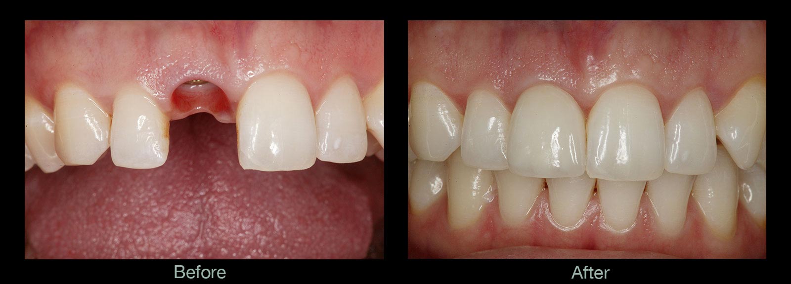
     当我们的牙齿缺失之后,会严重的影响到一个人的美观的问题,单颗牙齿缺失,让这些患者们在人们面前不敢露出牙齿,深怕被别人嘲笑,而很多的朋友这时候都会去选择用种植牙来修复牙齿,那么种植牙现在多少钱一颗?下文请穗华口腔医院专家为大家介绍一下。

推荐阅读〉〉〉广州天河植牙多少钱?
 
  穗华口腔专家介绍:种植牙费用一般包括种植体、修复基台、手术费用和烤瓷冠费用。做种植牙要根据患者的口腔条件,选择何种种植体,种植体的不同价格也就不同,种植体成活以后上面要安装烤瓷冠,烤瓷冠种类很多。每个人可以根据自己的要求和经济条件在专家的建议下进行选择。
 
  在广州一般做一颗种植牙总的费用在8000元到22000元/颗之间不等,其中种植牙费用包括种植体、基台和手术费用。
 
  一、如果是前牙作种植牙,建议使用好一些材质的牙冠。全瓷牙牙内冠使用的是金铂合金材料,铸瓷牙没有金属内冠,整个牙齿都是使用进口瓷粉并用特殊工艺加工,它们和人体相容性更好,美观效果也更好,特别是可以避免牙龈部位出现黑线的情况。好的材质,费用自然会贵一些!
 
  二、我们还必须知道做种植牙对医生技术要求很高,且使用的设备和种植体材料都是进口的,所以,种植牙费用相对高一些。但是和其它修复方式相比种植牙具有显着的优势,因此对自己的健康做些投入是非常值得的。特别是如果缺失的是单颗牙齿,做一颗种植牙和做3颗烤瓷牙相比,种植牙费用不但不算高,并且对相邻牙齿没有损伤,这是种植牙很大的优势。
 
  三、需要知道的是:随着种植体市场的发展,国产种植体使费用普遍下降。种植牙费用也有所下降了,普通老百姓也可以使用人类的“第三副牙齿”。
 
  穗华口腔是您爱牙的放心之选
 
  穗华口腔医院是拥有百年人文底蕴的穗华口腔医院临床教学医院,是广东省卫生厅批准成立的口腔专科医院,是集口腔诊疗、教学和科研为一体的现代化口腔综合医院,组建了由多位博士生导师和国内外知名专家构成的专业口腔专家队伍,承诺永远以顾客的牙齿健康为必要因素,确保给顾客高性价比的口腔治疗。
 
  温馨提醒:在做种植牙之前做好充分的准备和认识,更有利于种植牙手术的顺利进行。建议有种植牙需求的顾客朋友,去正规的专业口腔医院进行咨询了解。如果您还有什么问题或需要帮助,可在线咨询或拨打热线:020-62266666,将您的问题告诉在线医生,专家不仅能耐心为您分析解答,还能提供预约挂号的服务,让你就诊更方便快捷,“百度100遍,不如咨询一次”。

穗华口腔专家团队

>>more

  • 赖仁发 主任医师

    穗华口腔医院总院长
    暨南大学附属第一医院口腔医学中心主任导师
    国家教育部高等学校口腔医学专业教学指导委员会委员
    国家教育部医学教育题库(口腔医学)建设指导委员会委员

  • 冯智强 主任医师

    穗华口腔医院种植技术院长
    广东省口腔医师协会理事
    广东省医学教育协会口腔种植学专业委员会委员
    广东省整形美容口腔医学会委员
    广东省口腔颌面外科专业委员会委员
    广东省颞下颌关节病学及牙合学专业委员会委员
    广东省口腔医学会医院感染控制与管理专业委员会委员
    《实用医学杂志》审稿专家
    美国牙科新技术学院(AIIDE)中国区高级讲师
    2017年度广东省十大健康风尚人物

  • 鲍洪源 副主任医师

    穗华口腔海珠中大院区院长
    原中国航空364医院口腔科主任
    德国口腔颌面外科协会(MKG)种植硕士
    韩国Demtium种植牙系统千例种植认证医师
    北京大学种植中心访问专家
    湖北省种植专委会委员
    湖北省口腔全科专委委员
    中华口腔医学会种植专委会委员

  • 熊小明 副主任医师

    穗华口腔越秀院区院长
    中华口腔医学会会员
    全国口腔名家联盟成员
    广东省口腔种植学专业委员会委员
    德国(DGI)口腔种植协会会员
    美国口腔正畸学会(AAO)会员
    美国哥伦比亚大学口腔种植访问学者

  • 贺文鹏 副主任医师

    穗华口腔医院正颌中心主任
    穗华口腔医院资深种植专家
    暨南大学附属第一医院口腔外科主任
    暨南大学口腔医学院口外教研室副主任
    多家种植体品牌公司培训讲师
    德国口腔颌面外科协会-种植精英计划-种植硕士
    国家执业医师资深考官
    广州实力中青年医生
    暨南大学附属第一医院手术突出贡献奖获得者
    中华口腔医学会创伤与正颌专委会青年委员
    广东省医学会颌面头颈外科学分会青委副主任委员
    广东省医院协会口腔管理分会委员
    广东省临床医学学会牙种植专委会委员
    广东省口腔医学会口腔颌面外科专业委员会青年委员
    广东省整形美容协会口腔整形美容分会委员
    广东省粤港澳合作促进会医药卫生大健康委员会口腔健康联盟委员
    广东省医学教育协会口腔种植专业委员会委员
    广东省口腔医师协会理事

  • 孔卫东 主任医师

    穗华口腔医院副院长
    穗华口腔医院集团正畸医疗总监
    eBrace个性化舌侧矫治器主要发明人
    中华口腔医学会口腔正畸专业委员会5、6、7届委员
    《中华口腔正畸学杂志》编委
    广东省口腔医学会口腔正畸专业委员会常委
    《暨南大学学报(医学版)》特邀编委
    美国口腔正畸学会(AAO)会员
    世界正畸联盟(WFO)会员
    广东省3D打印技术联盟理事会理事
    广东省整形美容协会理事会理事
    省部级企业科技特派员
    入选2020年度《岭南名医录》
    被评为2021年度“羊城好医生”

  • 肖世芳 主任医师

    穗华口腔荔湾院区医疗院长
    中国共产党广州穗华口腔门诊部有限公司支部委员会书记
    穗华口腔健康正畸讲师
    中华口腔医学会正畸专业委员会会员
    四川省口腔医学会正畸专业委员会委员
    暨南大学口腔医学院研究生实践指导教师
    美国隐适美隐形矫治全球认证医师
    美国SPARK精靓隐形矫治全球认证医师
    美国Insignia精准矫治全球认证医师
    时代天使隐形矫治认证医师
    医疗健康管理硕士

  • 谢晓聪 主治医师

    穗华口腔荔湾院区资深正畸医师
    穗华口腔荔湾院区修复医师
    时代天使隐形矫正认证医师
    毕业于广州医科大学

  • 田慧娟 主治医师

    穗华口腔白云梅花园院区正畸科资深医师
    中华口腔医学会正畸专业委员会专科会员
    时代天使儿童颜面管理认证医师

  • 张涛 副主任医师

    穗华口腔番禺万博院区院长
    中华口腔医学会口腔正畸专业委员会专科委员
    中华口腔医学会口腔颌面创伤及正颌专业委员
    美国隐适美隐形矫治全球认证黑钻医师
    美国Spark精靓隐形矫治全球认证医师
    eBrace专利矫正认证医师

  • 文夫 主治医师

    穗华口腔医院正畸科隐形矫治技术主任
    穗华口腔天河院区资深正畸医师
    中华口腔医学会会员
    中华口腔医学会正畸专业委员会专科会员
    广东省口腔医学会会员
    美国隐适美全球认证专家
    美国隐适美隐形矫治讲师
    时代天使高端隐形矫治指定授权医师
    时代天使高端隐形矫治培训专家
    第18届雅加达亚运会中国代表团口腔保障营专家
    丽绮美数字化颜面管理认证医师

  • 黄海霞 主治医师

    穗华口腔海珠中大院区医疗副院长
    中华口腔医学会正畸专业委员会专科会员(COS)
    中华口腔医学会儿童口腔医学专业委员会专科会员
    中华口腔医学会口腔美学专业委员会专科会员
    卡瓦Ormco数字化产品中国区认证讲师
    美国隐适美隐形矫治认证医师
    时代天使隐形矫治认证医师、认证讲师
    时代天使儿童颜面管理认证医师
    eBrace个性化舌侧矫治认证医师
    美国spark精靓隐形矫治全球认证医师
    丽绮美数字化颜面管理认证医师

  • 张建 主治医师

    穗华口腔医院正畸科主治医师
    中华口腔医学会正畸专业委员会专科会员
    eBrace个性化舌侧矫治认证医师
    美国Spark隐形矫正认证医师
    美国隐适美隐形矫治认证医师
    美国Insignia个性化唇侧矫正认证医师
    时代天使隐形矫治认证医师
    丽绮美数字化颜面管理认证医师

  • 刘华 副主任医师

    穗华口腔医院白云梅花园院区医疗副院长
    湖北中医药大学副教授
    国家医疗卫生专家库专家

  • 谢晓聪 主治医师

    穗华口腔荔湾院区资深正畸医师
    穗华口腔荔湾院区修复医师
    时代天使隐形矫正认证医师
    毕业于广州医科大学

  • 陈波 主治医师

    穗华口腔医院综合科资深医师
    中华口腔医学会会员

  • 陈天宇 主治医师

    穗华口腔黄埔院区医疗副院长
    穗华口腔黄埔院区资深修复医师
    中山大学光华口腔医学院口腔修复学硕士
    中华口腔医学会口腔修复学学会会员

  • 甄亚辉 主诊医师

    穗华口腔医院综合科医师
    中华口腔医学会会员

  • 唐果 主治医师

    穗华口腔医院综合科医师
    中华口腔医学会会员

  • 刘华 副主任医师

    穗华口腔医院白云梅花园院区医疗副院长
    湖北中医药大学副教授
    国家医疗卫生专家库专家

  • 何豫 主治医师

    穗华口腔黄埔院区综合科专家
    毕业于中山大学光华口腔医学院
    资深口腔全科医师、儿童口腔专科医师

  • 赵丽雪 主治医师

    穗华口腔医院综合科医师
    中华口腔医学会会员

  • 许玉琴 主治医师

    穗华口腔海珠中大院区全科医师
    中华口腔医学会会员
    毕业于南华大学

版权:广州穗华口腔医院
备案号:粤ICP备15046903号
医疗广告审查证明文号:粤(A)广(2025)第1188号