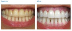
快速牙齿美白医院

色素牙并不是一天两天就能形成,因此,每天都不遗漏的牙齿清洁都挡不住牙齿...【详细】
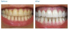
皓齿美白牙齿的医院

女屌丝们并不太注重细节,大半年不换发型,不美甲,不照镜子,牙齿就更不必...【详细】
皓齿美白牙齿的医院

女屌丝们并不太注重细节,大半年不换发型,不美甲,不照镜子,牙齿就更不必...【详细】
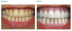
口腔医院牙齿美白专家

色素牙在生活中很常见,呈现黄色或黄褐色等现象,使人们的外貌美观大打折扣...【详细】
口腔医院牙齿美白价格

都说,貌美齿为先,在这个世上,谁不希望自己的牙齿能够白白净净的呢?冷光...【详细】
口腔医院牙齿美白费用

要想牙齿变得美白,让自己笑容更加的有自信,牙齿有色素的患者是需要做牙齿...【详细】
广州市牙齿美白医院

中国古代有一个形容美女的词语明眸皓齿。清澈的眼眸,洁白的牙齿都是提高颜...【详细】
广州市哪个医院做美白牙齿好?

拥有一口洁白美丽的牙齿是很多人的梦想,然而现实中不少人会因为氟斑牙而饱...【详细】
皓齿美白牙齿

牙齿发黄发黑?影响形象美观,不敢露齿微笑,影响人际交往,那么怎么样可以...【详细】
牙齿美白哪个医院好?

拥有一口整齐洁白的牙齿,可以让爱美者看起来更加具有亲和力。尤其是对于那...【详细】
版权:广州穗华口腔医院
备案号:粤ICP备15046903号
医疗广告审查证明文号:粤(A)广(2025)第1188号