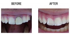
种植牙过程麻烦吗?

种植牙是针对牙齿缺失的一种非常好的修复方法,因其不具破坏性,媲美天然牙...【详细】
种植牙有哪些适用范围?

种植牙是通过种植人工牙根到牙槽骨内,待其与牙槽骨结合稳定后在套上牙冠的...【详细】
暨南大学-罗德斯大学孔子学院理事会在举行

12月9日,南非罗德斯大学副校长彼得克雷顿教授(Prof. Peter Clayton)、孔子学院...【详细】
广州洗牙需要多少钱呢?

牙齿的健康也彰显着我们身体的健康,目前越来越多的人重视牙齿的健康,通过...【详细】
洗牙有哪些步骤?

洗牙,就是清洗牙齿,牙科行内话叫洁治,既是清洁,也是治疗,预防。也就是...【详细】
洗牙对健康有哪些好处呢?

洗牙能够帮助人们清洁牙齿上附着的菌斑、结石及沉积在牙齿表面的色素,这对...【详细】
洁牙有什么需要注意的事项?

随着人们健康意识的提高,牙齿保健也成为了越来越多人的关注点。不少人都会...【详细】
牙结石危害多,不可忽视

牙结石又称牙石,表现为在牙齿上的或白色,或黄色的物质。通常存在于唾液腺...【详细】
洗牙很简单吗?

洗牙在医学上简称洁治术,也叫洁牙,定期洗牙对牙齿健康有好处的。那么洗牙...【详细】
什么是牙结石?

如果不注意口腔卫生,便会形成牙结石。牙结石不光让牙齿变得不美观,更会引...【详细】
版权:广州穗华口腔医院
备案号:粤ICP备15046903号
医疗广告审查证明文号:粤(A)广(2025)第1188号