小铃的牙齿上有两颗虎牙,小时候看起来感觉比较可爱一些,但是长大了,虎牙...
【详细】
小孩子有虎牙感觉挺可爱的,但是孩子长大后,虎牙就长得突出,显得不可爱了...
【详细】
生活中很多人会出现牙齿畸形的问题,许多人觉得虎牙问题是小事,不会及时去...
【详细】
11月13日下午,暨南大学在邵逸夫体育馆举行体育学院揭牌暨苏炳添、莫有雪颁...
【详细】
在暨南大学109周年校庆之际,暨大校董共向学校捐款5000万人民币、2000万港币,...
【详细】
牙齿长得整齐洁白,很多时候会成为陪伴我们的一道靓丽的风景线,灿烂笑容更...
【详细】
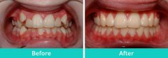
牙列不齐属于畸形牙的一种,牙列不齐不仅影响一个人的外貌美观,而且还会影...
【详细】
随着人们生活水平的不断提高,人们对自身的健康、形象逐渐引起了重视,越来...
【详细】
牙齿不齐在生活中非常常见,这也致使很多人有了习以为常,见怪不怪的心理,...
【详细】
一口整齐洁白的牙齿笑起来会让人如浴春风,每个人都想拥有,整齐洁白的牙齿...
【详细】