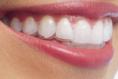
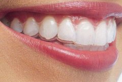
隐形矫正器是现代新进的牙齿矫正技术,其具有其他牙齿矫正方式不可媲美的优...
【详细】
成人牙齿已经发展定型,不像孩子矫正那么容易,那么成人适应牙齿矫正吗?暨...
【详细】
有朋友提问:矫正会把牙齿弄松吗?穗华口腔专家介绍,牙齿矫正是不会把牙齿...
【详细】
很多人不知道自己的情况能不能矫牙,现在小编奉上不同年龄段的人矫牙攻略,...
【详细】
很多人被牙齿畸形所困扰,矫牙能够塑造个人的外部形象,令魅力提升,那么一...
【详细】
畸形牙除了影响颜面美观、口腔卫生健康外,对牙患来说更惨痛是心理上的创伤...
【详细】
牙齿矫正主要包括活动矫正技术和固定矫正技术。穗华口腔专家介绍,目前使用...
【详细】
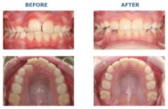
牙齿不齐、歪牙、龅牙都能通过牙齿矫正排列整齐,收获一口整齐美观的牙齿。...
【详细】
一口整齐美丽的牙齿能提升我们的魅力指数,拉近人与人之间的距离,而一口难...
【详细】
牙齿矫正可以塑造牙齿健康美观的形态,解决一些人的苦恼,受到广大爱美者的...
【详细】