卅五年沧桑砥砺,薪火相连;卅五载栽桃培李,春华秋实。11月8日上午,由经济...
【详细】
11月9日下午,广州市定制公交如约巴士启动仪式在暨南大学南校区教学楼前举行...
【详细】
11月7日,在天津中医药大学举行的2015天堰挑战杯第五届全国高等医学院校中医...
【详细】
11月5日,中国科学院院士、暨南大学粤港澳中枢再生神经研究院院长、香港大学...
【详细】
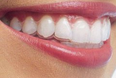
美丽的笑容是我们形象的对外明信片,而笑容又离不开牙齿,所以拥有一口洁白...
【详细】
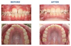
牙齿不齐几乎是每个人都存在的问题,只有不齐的程度不同而已,在现代口腔医...
【详细】
牙齿不齐是普遍存在的现象,非常影响人的面部美观,影响人们外部形象的展示...
【详细】
广州穗华口腔专家认为,牙列不齐的人越来越多是遗传和环境两大因素造成的。...
【详细】
在现代时间就是金钱的时代,很多人都不想花费太多的时间去进行牙齿矫正,那么...
【详细】
广州穗华口腔医院专家介绍:隐形矫正具有传统矫正不可媲美的优点,效果显着...
【详细】