重阳节敬老爱老系列报道(五)东莞第五届道德模范赖锡芬 南方电视台今日一...
【详细】
重阳节敬老爱老系列报道(四)之中国好媳妇魏红清 南方电视台今日一线联合...
【详细】
重阳节敬老爱老系列报道(三)东莞肾病孝子吴正新:妈妈以后我挣钱养你 南...
【详细】
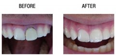
门牙是关乎面部美观的问题,门牙掉了之后,不仅仅只是会影响到我们的美观,...
【详细】
10月29日,百年暨南大学文化素质教育讲堂第240期暨南校区博雅大讲堂第一讲正...
【详细】
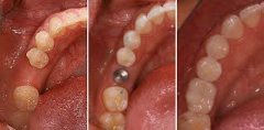
种植牙是现在牙齿却是很好的修复技术之一,比其他牙齿修复方式更有优势,可...
【详细】
牙齿的缺失影响患者面部的容貌,所以牙齿的修复势在必行。而种植牙是现在牙...
【详细】
牙齿的缺失影响患者面部的容貌,还会影响身体健康,所以牙齿的修复势在必行...
【详细】
牙齿的缺失影响患者面部的容貌,所以牙齿的修复势在必行。而种植牙是现在牙...
【详细】
牙齿的缺失影响患者面部的容貌,所以牙齿的修复势在必行。而种植牙是现在牙...
【详细】