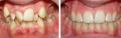
有什么方法可以快速矫正牙齿?

现代人们都希望拥有一口健康美观的牙齿,牙齿矫正可以塑造牙齿健康美观的形...【详细】
牙齿矫正知识大集合

大家是否了解过牙齿矫正到底是怎么回事,想要做牙齿矫正,必须了解好牙齿矫...【详细】
牙齿矫正的好时期

牙齿矫正有它的最好时期,很多人因为错过了牙齿矫正的黄金期,使得牙齿矫正...【详细】
牙齿错位有哪些危害

在日常生活中,很多人存在牙齿错位的现象,牙齿错位的危害很多,笼统地来说...【详细】
广州牙齿错位矫正多少钱

很多牙齿错位的朋友想进行牙齿矫正,又由于事业刚刚起步,负担不起矫正费用...【详细】
造成牙齿错位的原因有哪些?

牙齿错位的现象在生活中很常见,严重影响了颜面美观,造成牙齿错位的原因有...【详细】
什么是牙齿错位?

牙齿错位在我们生活中很常见,是一种牙齿畸形,它的危害不可忽视,直接影响...【详细】
牙错位的危害有多少?

牙齿错位在生活中很常见,很多朋友都不已为然,殊不知牙齿错的危害很大,那...【详细】
你知道牙错位的危害有哪些?

牙错位的危害不可忽略,它给我们的生活带来了很大的困扰,对我们的身心造成...【详细】
牙错位矫正的佳时期

牙错位给牙错位患者带来了一系列的问题:不能开怀大笑、咀嚼食物不充分、清...【详细】
版权:广州穗华口腔医院
备案号:粤ICP备15046903号
医疗广告审查证明文号:粤(A)广(2025)第1188号