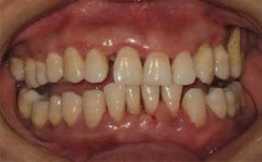
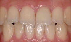
种植牙的效果怎么样?

种植牙是修复牙齿缺失的最理想方法之一,是目前最受欢迎的缺牙修复方式,通...【详细】
种植牙有什么需要注意?

种植牙是现在牙齿却是最好的修复技术之一,主要材料是种植体和牙冠两个部分...【详细】
哪些人适合牙齿矫正?

牙齿矫正已成为大多数人恢复牙齿形态的方法,通过牙齿矫正,修整牙齿排列不...【详细】
戴牙套会改变脸型吗?

牙齿畸形可以通过牙齿矫正恢复过来,牙齿矫正的方式是戴牙套,有朋友会担心...【详细】
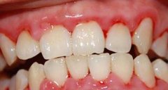
慢性牙周炎治疗方法

牙周炎是侵犯牙龈和牙周组织的慢性炎症,是一种破坏性疾病,其主要特征为牙...【详细】
急性牙髓炎的治疗方法

急性牙髓炎是指急性牙髓组织的炎症,其感染源主要来自深髓,牙髓的感染可通...【详细】
牙齿矫正有用吗?

牙颌畸形的修复手段是牙齿矫正,通过佩戴矫正器修整牙齿排列不齐、牙齿形态...【详细】
重度牙周炎怎么治疗?

牙周炎是累及四种牙周支持组织(牙龈、牙周膜、牙槽骨和牙骨质)的慢性感染性...【详细】
牙周炎吃什么药好得快?

牙周炎是一种常见的口腔疾病,发作起来疼痛难忍,常见的症状有牙龈出血、牙...【详细】
牙肉发黑是什么原因?

正常人的牙肉呈粉红色,而有一些人牙肉比一般人黑, 那么牙肉发黑是什么原...【详细】
版权:广州穗华口腔医院
备案号:粤ICP备15046903号
医疗广告审查证明文号:粤(A)广(2025)第1188号