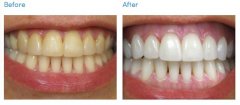
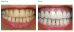
我们日常生活中的刷牙并不能解决牙齿变色的问题,想要牙齿真正地美白,需要...
【详细】
暨南大学穗华口腔医院专家告诉我们,一般的刷牙并不能解决牙齿变色的问题,...
【详细】
如今生活水平不断提高,爱美者们也越来越重视牙齿方面的健康,一口黄澄澄的...
【详细】
随着医疗技术的不断进步,人们要想自己变得更加的美丽是件很容易的事情,有...
【详细】
由于生活习惯和外界环境的影响,很多人在不知不觉中有了变色牙。变色牙不仅...
【详细】
灿烂自信的笑容里离不开洁白牙齿作为特征,齿若编贝自古以来就是美女的标准...
【详细】
由于生活习惯和外界环境的影响,很多人都在不知不觉中有了变色牙。外因性变...
【详细】
暨南双星入围“2015CCTV体坛风云人物”提名奖
12月23日下午,2015CCTV体坛风云人物年度评选提名奖揭晓,暨南大学学子苏炳添、...
【详细】
牙齿健康美白能够让人焕发活力,散发出让人着迷的魅力,白牙一笑靓瞎人,那...
【详细】
每个人都想拥有一口皓白的牙齿,都想展露迷人的微笑,散发出感染人的魅力,...
【详细】