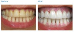
洗牙一般价钱

洗牙能够维持人的口腔健康,保持牙齿的美白,不失为现代都市牙齿保健的项目...【详细】
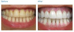
洗牙多少钱一颗?

每个人都想有一口皓白的牙齿,都想展露迷人的微笑,如何让你的牙齿更洁白,...【详细】
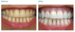
洗牙多少钱一次?

洗牙是现代都市一个常见的牙齿保健方式,维护口腔健康,预防口腔疾病,保持...【详细】
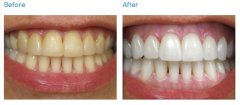
牙齿美白多少钱一次?

牙齿代表着我们的个人形象,要是牙齿黄黑不美观,自然影响我们的个人形象,...【详细】
洗牙要多少钱一次?

暨南大学穗华口腔医院专家介绍:定期洗牙能清除牙结石,预防口腔疾病,保持...【详细】
洗牙一次大概多少钱?

每个人都想有一口皓白的牙齿,都想展露迷人的微笑,如何让你的牙齿更洁白靓...【详细】
洗牙一次要多少钱?

洗牙是现代牙齿保健的项目,维护口腔健康,预防口腔疾病,保持口腔的洁白的...【详细】
洗牙一次一般多少钱?

每个人都想有一口皓白的牙齿,都想展露迷人的微笑,让牙齿更洁白更健康就要...【详细】
一次洗牙多少钱?

洗牙是现代牙齿保健的常有项目,洗牙让牙齿更健康更迷人,预防口腔疾病,吃...【详细】
普通洗牙多少钱?

每个人都想有一口皓白的牙齿,都想展露迷人的微笑,如何让你的牙齿更洁白,...【详细】
版权:广州穗华口腔医院
备案号:粤ICP备15046903号
医疗广告审查证明文号:粤(A)广(2025)第1188号