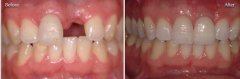
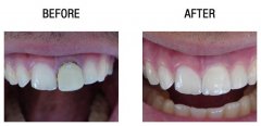
种植牙要花多少钱?

种植牙作为目前牙齿缺失很好的修复方式,堪比天然牙齿,已经被人们所青睐,...【详细】
种植牙可以无痛吗?

种植牙成为牙齿缺失的很好的修复方式,选择种植牙修复的人也越来越多,那么...【详细】
种植牙的适宜人群和不适宜人群

随着医学技术的发展,由于种植牙有着不可媲美的优点,已经成为人们所青睐的...【详细】
牙齿缺失有哪些危害?

牙齿缺失给我们的生活带来了很大的不便,不仅使我们的形象受损,还会影响身...【详细】
半口牙缺失怎么办?

半口牙缺失给生活带来了很大的麻烦,不仅影响牙齿咀嚼功能,还非常影响颜值...【详细】
根管治疗后牙齿为什么疼?

根管治疗可以将根管内感染物清除,并严密填塞根管,隔绝细菌进入再感染,防...【详细】
什么是根管治疗术?

根管治疗术,又称牙髓治疗,是牙医学中治疗牙髓坏死和牙根感染的一种手术。...【详细】
根管治疗要做几次?

根管治疗对于那些牙髓炎、牙髓坏死和各种类型的根尖周炎都有很好的疗效,尤...【详细】
牙齿矫正后要注意哪些事项?

牙齿发生拥挤在日常生活中很常见,不仅关乎口腔健康,也关乎我们的身体健康...【详细】
海内外专家学者齐聚 探讨神经科学新进

暨南大学校长胡军(右)向约翰戈登教授颁发名誉教授聘书 2015国际脑功能与健...【详细】
版权:广州穗华口腔医院
备案号:粤ICP备15046903号
医疗广告审查证明文号:粤(A)广(2025)第1188号