根管治疗的过程是怎样的呢?

根管治疗会清除患牙髓腔内特别是根管内的坏死物质,经过冲洗消毒之后,再进...【详细】
根管治疗术后需要注意事项

根管治疗会清除患牙髓腔内特别是根管内的坏死物质,经过冲洗消毒之后,再进...【详细】
根管治疗需要多长时间?

根管治疗是采用清除患牙髓腔内特别是根管内的坏死物质,经过冲洗消毒之后,...【详细】
根管治疗术有哪些优势?

显微根管治疗技术对治疗牙髓病、根尖周病、重度龋齿等病例,均取得了良好的...【详细】
根管治疗需要多少钱?

根管治疗是现在很流行的一种牙齿治疗方法,对治疗牙髓病、根尖周病、重度龋...【详细】
牙痛是什么原因?

在生活中牙痛给很多朋友都带来了困扰,引起牙痛的原因有很多,只有了解到牙...【详细】
暨南大学领导出席王宽城教育基金会成立三十周

9月18至19日,暨南大学副校长、教育发展基金会理事长林如鹏代表学校出席了王...【详细】
影响种植牙寿命有哪些因素?

理论上种植牙是一种可以使用几十年之久的牙齿修复体,一直有很高的实力光环...【详细】
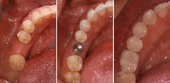
种植牙能使用多久?

种植牙可以说是目前使用寿命较长、受力效果较好、外观色泽跟真牙较为相似的...【详细】
门牙缺失了该怎么办?

门牙的缺失影响我们面部的美观和食物的咀嚼,门牙缺失了怎么办呢?下面请暨...【详细】
版权:广州穗华口腔医院
备案号:粤ICP备15046903号
医疗广告审查证明文号:粤(A)广(2025)第1188号