人随着年纪增加,牙齿也随之变得很脆弱,牙齿出现松动然后脱落,老年人本来...
【详细】
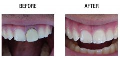
长期的牙齿缺失,牙床发生萎缩、吸收,导致牙床的高度降低,传统戴假牙戴不...
【详细】
9月17日,暨南大学2015级研究生新生入学教育暨科学道德与学风建设宣讲大会在...
【详细】
南方日报讯(记者/谢嘉玮 通讯员/黄钎乘)2015年9月,各高校又迎来了一年一度...
【详细】
牙齿拥挤是很常见的一种牙齿畸形,影响健康和美观,其中,前牙拥挤比后牙拥...
【详细】
牙列拥挤是典型的牙齿畸形,不仅使我们的形象大大减分,严重的甚至会造成口...
【详细】
牙齿拥挤给生活带来了很多不便,令我们在和别人聊天时感到很自卑,不敢侃侃...
【详细】
很多人认为牙齿掉一两颗没有关系,照常吃东西,没感觉有什么不妥。其实不然...
【详细】
种植牙是目前牙齿缺失很好的修复方式,拥有其他牙齿修复方式无法媲美的优点...
【详细】
理论上说种植牙使用期限很长,可以长达四十年,但是种植牙使用期限的长短也...
【详细】