由于每个人的口腔状况不同,牙齿健康程度也就不同。牙齿健康程度低所导致的...
【详细】
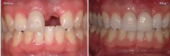
有很多人知道种植牙是修复牙齿缺失的很好的方式,种植牙是牙齿缺失患者的一...
【详细】
生活总有不如意的地方,就像我们的牙齿,意外导致缺损了,从此变得不自信起...
【详细】
2015年9月19日上午9点30分,广州日报联合暨南大学穗华口腔医院举办名医大讲堂...
【详细】
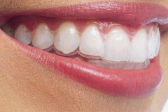
牙齿拥挤是一大牙齿问题,不仅影响外形美观,也影响口腔健康,给生活带来了...
【详细】
牙列拥挤使清洁不易,造成龋齿和牙周病发病率高,而且非常影响外观。严重者...
【详细】
看着广告上明星迷人的笑容,是否被明星那口皓齿给晃到了呢?一口洁白整齐的...
【详细】
有朋友提问:牙齿矫正过程是怎样的,有几个步骤?穗华口腔专家表示,牙齿矫...
【详细】
种植牙给了牙齿缺失患者希望,让他们重建自信,重现灿烂笑容,因此种植牙受...
【详细】
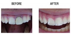
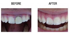
门牙缺失是容易被看到的地方,无论是说话还是微笑,让我们的形象大打折扣,...
【详细】