前牙开颌矫正会痛吗?

前牙开颌在临床上并不常见,但是它不但影响外貌美观,还会影响口腔咀嚼功能...【详细】
前牙开颌应该怎么办?

前牙开颌是指牙齿在垂直方向上不能咬合,在安氏三种类型的错颌中都可能出现...【详细】
前牙开颌矫正医院哪家好?

前牙开颌是解决牙齿畸形的最理想方法,通过医学的方法,用矫正器使牙齿进行...【详细】
双颌前突矫正注意事项

双颌前凸,是上下颌都向前突出,磨牙中性合,上下齿槽骨或上下牙弓前突,面...【详细】
2015羊城晚报老人报口腔健康专家大讲堂隆重举行

8月8日,由羊城晚报、老人报主办的口腔健康专家大讲堂今天于暨南大学穗华口...【详细】
前牙开颌矫正安全吗?

不少前牙开颌患者想接受牙齿矫正,但是,由于听信了一些牙齿矫正会留下后遗...【详细】
前牙开颌矫正效果怎么样?

大多数前牙开颌患者都接受矫正来治疗,前牙开颌是一种牙齿畸形,影响外貌美...【详细】
前牙开颌矫正效果好不好?

前牙开颌是一种牙齿畸形,影响外貌美观,影响口腔功能,最终影响人的身体健...【详细】
前牙开颌矫正注意事项

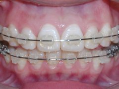
前牙开颌可以通过矫正术来重塑牙齿美观整齐的形态,为了保证前牙开颌的矫正...【详细】
牙列拥挤矫正医院哪家好?

牙齿矫正是解决牙齿畸形的最理想方法,通过医学的方法,用矫正器使牙齿进行...【详细】
版权:广州穗华口腔医院
备案号:粤ICP备15046903号
医疗广告审查证明文号:粤(A)广(2025)第1188号