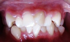
牙列拥挤是最常见的一种牙齿畸形,表现为牙齿的大小正常或过宽,牙呈各种方...
【详细】
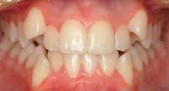
牙列拥挤必须通过矫正治疗,才能使牙齿变得健康美观,然而很多牙列拥挤朋友...
【详细】
牙列拥挤矫正之后,为了维持矫正术后的效果,还需要注意矫正后的护理, 那...
【详细】
现代大众都能接受牙列拥挤矫正来恢复牙齿自然美观的形态,对于牙列拥挤矫正...
【详细】
牙列拥挤不仅影响牙齿美观,还会影响身体健康,所以牙列拥挤必须通过矫正改...
【详细】
不少牙列拥挤的患者想接受牙齿矫正,但是,由于听信了一些牙齿矫正会留下后...
【详细】
牙列拥挤矫正可以恢复牙齿自然美观的形态,让我们更好地绽放灿烂笑容, 那...
【详细】
牙列拥挤给生活带来了很多危害和不便,不但影响口腔美观,还会影响咀嚼功能...
【详细】
牙列拥挤通过矫正可以恢复牙齿的自然美观,然而牙列拥挤矫正有一些注意事项...
【详细】
牙齿矫正是解决牙齿畸形的最理想方法,通过医学的方法,用矫正器使牙齿进行...
【详细】