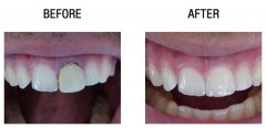
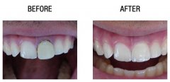
烤瓷牙的价钱

目前,许许多多的人都想要拥有一口整齐洁白的牙齿,但是由于烤瓷牙的种类比...【详细】
镶牙哪种好?

牙齿缺失后需要我们进行镶牙修复,而传统的镶牙主要分为活动义齿与固定义齿...【详细】
种植牙齿寿命

有朋友会有疑问:种植牙齿寿命是多长,对于这个问题,下文请暨南大学穗华口...【详细】
广州天河种植假牙价钱

提起种植牙齿来,相信许多牙缺失顾客都有所听说。但大多数人并不了解,种植...【详细】
广州天河种植牙齿

随着口腔种植技术的日益成熟,种植牙开始受到越来越多的牙缺失顾客青睐。种...【详细】
广州天河种植牙齿价格

提起种植牙齿来,相信许多牙缺失顾客都有所听说。但大多数人并不了解,种植...【详细】
广州天河种植牙齿疼吗?

种植牙 是人们牙齿缺失的重要选择,但是并不是所有的人对种植牙都很了解。...【详细】
广州天河种植牙寿命

种植牙为缺牙患者带来福音,以其不可替代的优越性,能够取代真牙行使牙齿咀...【详细】
种植牙现在多少钱一颗?

当我们的牙齿缺失之后,会严重的影响到一个人的美观的问题,单颗牙齿缺失,...【详细】
种植牙现在多少钱一颗?

当我们的牙齿缺失之后,会严重的影响到一个人的美观的问题,单颗牙齿缺失,...【详细】
版权:广州穗华口腔医院
备案号:粤ICP备15046903号
医疗广告审查证明文号:粤(A)广(2025)第1188号