种植一颗牙价格是多少?

种植牙在人们眼里非常神秘而价格高昂,但事实真是如此吗?其实,种植牙性能...【详细】
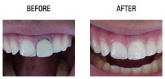
广州天河区即刻种植牙

自从即刻种植牙问世以来,已经成为了广大半口或全口牙齿缺失者的福音,帮助...【详细】
创新创业成果亮相增城“侨梦苑” 裘援平谭

12月22日,侨梦苑揭牌仪式暨侨梦苑创新创业交流会在广州增城国家级经济技术...【详细】
种牙多少钱一颗?

许多人都听说过种植牙,但大多数人并不了解,种植牙也分为很多种类,其种类...【详细】
种植牙的危害

随着口腔医学技术的逐渐提高,越来越多的人开始了解上种植牙的好处。可是,...【详细】
种植牙一颗多少钱?

种植牙在人们眼里非常神秘而价格高昂,但事实真是如此吗?其实,种植牙性能...【详细】
植牙有没有危害呢?

对于有意向种牙的顾客来说,这大概是关心的首要问题吧。那么植牙有没有危害...【详细】
种植牙价格

提起种植牙齿来,相信许多牙缺失顾客都有所听说。但大多数人并不了解,种植...【详细】
种牙有什么优势?

生活中,因为外伤或者口腔疾病导致牙齿脱落的人并不在少数,也许我们会觉得...【详细】
种植牙价格表

种植牙,一直以性能优良、外观逼真、使用时间长的形象出现在公众面前,然而...【详细】
版权:广州穗华口腔医院
备案号:粤ICP备15046903号
医疗广告审查证明文号:粤(A)广(2025)第1188号