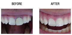
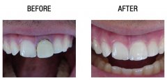
种牙好还是镶牙好?

这个问题想必是许多牙缺失顾客的疑惑。实际上,镶牙和种植牙都可以解决牙齿...【详细】
种植牙的利与弊

随着口腔医学技术的不断发展,越来越多的顾客选择了种植牙修复。那么,种植...【详细】
种植牙多少钱一颗?

许多人都听说过种植牙,但大多数人并不了解,种植牙也分为很多种类,其种类...【详细】
种植牙价格是多少?

随着中国国民口腔健康意识的逐步提高,越来越多的老人开始关注起了种植牙,...【详细】
种牙价格

当我们的牙齿缺失之后,会严重的影响到一个人的美观的问题,单颗牙齿缺失,...【详细】
“地方立法与法治”论坛召开 肖志恒副主任高度

12月22日,由暨南大学主办的地方立法与法治论坛在法学院/知识产权学院召开。...【详细】
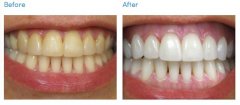
喷砂洗牙价格

洗牙能清除牙结石,预防口腔疾病,利于口腔保健,现代很多爱美人士都选择了...【详细】
喷砂洁牙多少钱?

洗牙能预防口腔疾病,有利于口腔保健,现代很多爱美人士都选择了洗牙来对牙...【详细】
喷砂洗牙多少钱一次?

洗牙能预防口腔疾病,有利于口腔保健,现代很多爱美人士都选择了洗牙来对牙...【详细】
洗牙的费用是多少?

很多消费者都会有这个问题:洗牙的费用是多少?在医院洗个牙一般需要100元以...【详细】
版权:广州穗华口腔医院
备案号:粤ICP备15046903号
医疗广告审查证明文号:粤(A)广(2025)第1188号