英国校友会回访母校 积极推动中英合作

12月1日下午,暨南大学英国校友会访问团回访母校,参观了校史馆,并与暨大招...【详细】
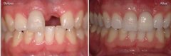
3D靶向种植牙怎么样?

牙齿缺失了怎么办?镶牙、假牙还是烤瓷牙?如果你只知道这些,那你就OUT了。...【详细】
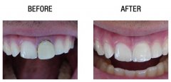
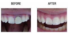
即刻种植牙怎么样?

种植牙按照植入时机分为延期种植牙和即刻种植牙,目前临床较普遍应用的是延...【详细】
种植牙好在哪里?

种植牙具有其他牙齿修复方式所不能媲美的优势,给牙齿缺失患者带来了福音,...【详细】
3D导航模拟种植牙有什么好处?

人类拥有两副牙齿:乳牙与恒牙,而牙医为我们带来了第三副牙齿─人工种植牙...【详细】
种植牙的成败受哪些因素影响?

我们每个人都希望自己能有一个璀璨人生,我们都希望自己的生活就算不能十全...【详细】
种植牙的效果受哪些因素影响?

牙齿在人类身体结构当中占据着非常重要的位置,它除了发挥食物消化的第一道...【详细】
第八届志愿者文化节开幕 700余名师生齐跑为公益

11月26日,暨南大学第八届志愿者文化节开幕式在南校区运动场举行。学校党委...【详细】
种牙哪里好?

生活中,因为外伤或者口腔疾病导致牙齿脱落的人并不在少数,也许我们会觉得...【详细】
种植牙有什么危害?

随着口腔医学技术的逐渐提高,越来越多的人开始了解上种植牙的好处。可是有...【详细】
版权:广州穗华口腔医院
备案号:粤ICP备15046903号
医疗广告审查证明文号:粤(A)广(2025)第1188号